Coffee, tea, smoking and wine – these are just a few of life’s little pleasures that can stain your teeth and leave you feeling less attractive. Luckily there are now surgery-based and home-based teeth whitening treatments available to undo the damage.

Whitening is one of the most effective and transformative cosmetic dentistry treatments, alongside dental veneers and dental implants, and will leave you looking and feeling fantastic.
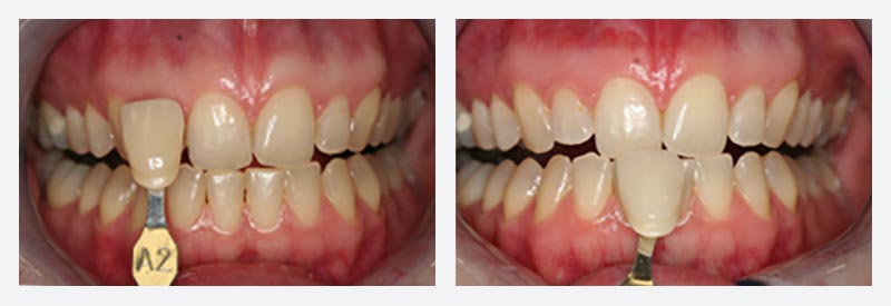
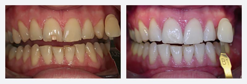
Tooth whitening uses a bleaching process to remove stains and discoloration of the teeth and give them a whiter appearance.

We offer various methods of teeth whitening in London that can provide lasting effects of up to ten years. This is a great way to stay looking younger!
Whiter, brighter teeth are just a phone call away!
To find out more about tooth whitening please visit http://www.dentalhealth.org/tooth-whitening
Our highly experienced and award winning dental team are ready to help you whiten your teeth.
Ultimate guide to teeth whitening. Written by James Goolnik for the Mail on Sunday. Understand which is the best way to whiten your teeth.
Whiten your teeth in just 90 minutes with our revolutionary Zoom teeth whitening service.
Remove years of tough stains with our home-based Oral-B Whitestrips.
Return a dead and faded tooth back to its natural colour with internal tooth bleaching in London.
Whiten your teeth safely and effectively in the comfort of your own home.
Top up your teeth whitening with our peroxide gels for use in your whitening trays.
Enjoy the whitest, brightest smile in London with our ‘Whitening for Life’ programme.
*All fields required.
| 020 7236 3600 |
| reception@bowlanedental.com |
| Monday | 07:45 - 17:30 |
| Tuesday | 07:45 - 17:30 |
| Wednesday | 08:30 - 17:30 |
| Thursday | 07:45 - 17:30 |
| Friday | 08:00 - 17:00 |