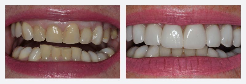
Decayed, worn down or fractured teeth can all be remedied by placing crowns or porcelain crowns over them which are shaped like a healthy tooth.
Although there are aesthetic benefits to dental crowns, the main reason for placing them is to strengthen damaged teeth so they can withstand the large forces we exert on them. And thanks to the latest developments, dental crowns can now blend in seamlessly with your other teeth.
Crowns are used for a number of reasons, mainly where dental bonding or dental veneers restorations don’t provide a strong enough solution.

Crowns, or porcelain crowns are also known as caps because they completely encircle the weak tooth above the gum and protect it. They can be made of metal (often gold), porcelain or a combination of the two. In a nutshell:
Each option has pros and cons and our initial consultation with you will determine which crowns will work best for you.
Step one:
After an initial consultation, we will clean the tooth and then reshape it under local anesthesia to accommodate the crown.
Step two:
We’ll then take a mould of your teeth and give this to our in-house lab where crowns and porcelain crowns are custom-made. The advantage of our in-house lab is that our technicians can reproduce the shape and colour of your existing teeth using ‘the real thing’ as a guide. During this time we provide you with a temporary crown.
Step three:
When you visit us again, we’ll remove the temporary crown and place the new one to see it fits with your smile and bite. If we are happy with the result, your new crown is placed and you walk out with your smile restored!
Our highly experienced and award winning dental team are ready to help you with dental crowns.
If you’re interested in dental crowns please get in touch…
Treat tooth decay and make your teeth look like new with tooth coloured fillings in London.
Repair and rebuild your decayed or broken teeth with dental inlays & onlays in London.
Rebuild a chipped or cracked tooth with dental bonding, the quick and minimal-invasive procedure.
Restore worn teeth to their former glory with our porcelain or gold dental crowns in central London.
Find out how you can get a new tooth in just one day with CEREC.
| 020 7236 3600 |
| reception@bowlanedental.com |
| Monday | 07:45 - 17:30 |
| Tuesday | 07:45 - 17:30 |
| Wednesday | 08:30 - 17:30 |
| Thursday | 07:45 - 17:30 |
| Friday | 08:00 - 17:00 |